خدمة طبية جديدة لعلاج تضخم البروستات بمستشفى النور التخصصي
مكة / إيمان محمد عبد الفتاح / صدى الحجاز
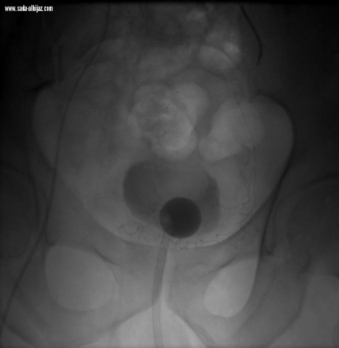
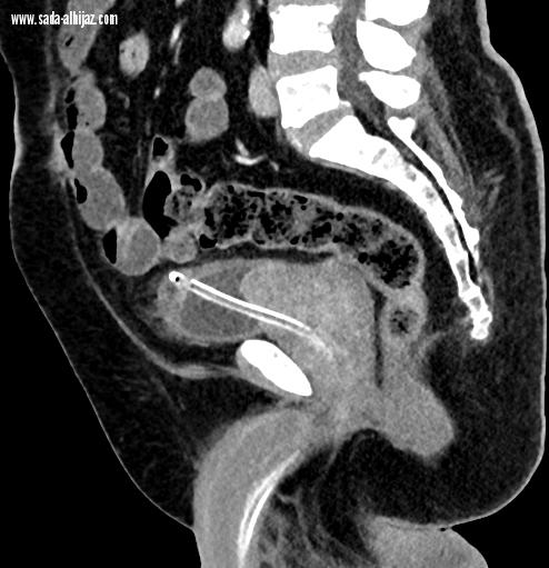
نجح بفضل الله فريق وحدة الأشعة التداخلية بمستشفى النور التخصصي بمكة المكرمة بالتعاون مع قسم جراحة المسالك البولية في إدخال خدمة جديدة و هي علاج تضخم البروستات الحميد المؤدي إلى إحتباس البول عن طريق الأشعة التداخلية.
وأبانت صحة مكة المكرمة بأنه تم تقديم هذه الخدمة لمريض سبعيني يعاني من إحتباس البول المزمن بسبب تضخم البروستات الحميد و عدم الاستجابة للأدوية و الإعتماد الكلي على قسطرة البول.
و نظراً لحالة المريض الصحية و التي تجعل من الجراحة التقليدية إجراء عالي الخطورة فقد تم تحويل المريض لأطباء وحدة الأشعة التداخلية و الذين قاموا بمعاينة المريض و مراجعة الفحوصات و عمل الأشعات اللازمة و من ثم اجراء العملية التداخلية بإستخدام التخدير الموضعي فقط .
وأضافت بأنه عند متابعة المريض على مدار الأشهر التالية فقد تحسن فيها إحتباس البول بشكل كبير و تمت إزالة قسطرة البول بشكل نهائي.
تجدر الإشارة أن هذا الإجراء الطبي يعتبر أحد الاجراءات الطبية الحديثة و المثبتة علميا بمنفعتها لمثل هؤلاء المرضى

















.jpg)
.jpg)


